忍者ブログ
あなたへの手紙
[1] [2] [3] [4] [5] [6]
×

[PR]上記の広告は3ヶ月以上新規記事投稿のないブログに表示されています。新しい記事を書く事で広告が消えます。

どうも「妨害工作」されているようで,先に話が進んで行かない様子....その相手には「訴訟」を起こそうと思考してます....
PR
                                                                                                     朝「夜勤」の仕事から帰る途中,若い「30歳代~」位の若い,兄ちゃんが,自分の顔を見た途端「つばを吐き捨てていた」から頭にきたのですよ!
会社に,いろいろ言ってた人間は,警察に注意されて,とっくに,いなくなったよ!だが,警察の機関というのは,その人物の名前とか,その人物が何処に住んでるとか,特定人物の素性は,業務上,教えられない事になっているから聞いても教えてくれないのだよ!
  ブラック企業調査~9月からです....厚生労働省の皆さん,宜しくお願い致します.....     http://news.tv-asahi.co.jp/news_society/articles/000010294.html           http://matome.naver.jp/odai/2137593727957721301    
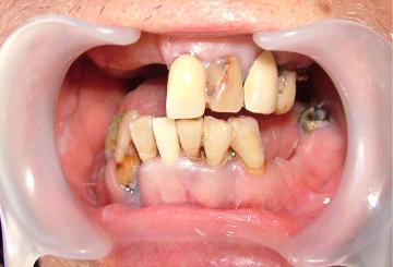
                                                         煙草は吸わない,酒も殆ど飲まない...なのに急に歯が溶け出して,歯の真ん中に穴が空くようになってしまった....これは間違いなく歯周病の「大病になる前のシグナル」である....ヘルプミー!...死にたくない...なに一つ楽しい事が無かったというのに...自分の人生は,なんだったんだ...今の生活を変えたい...いや変えなければ「大病」になる可能性があり,命に繋がってしまう...(苦笑)歯周病は,様々な大病病気を引き起こす前兆....助けてくれ!自分は,まだ死にたくない...最近,やたらと「頭痛=偏頭痛」が頻繁に起こる...糖尿病っていったって,急に直ぐ,そんな短期間ではならない筈だが...心臓病か,心筋梗塞か...


忍者ブログ [PR]
カレンダー
04 2026/05 06
S M T W T F S
1 2
3 4 5 6 7 8 9
10 11 12 13 14 15 16
17 18 19 20 21 22 23
24 25 26 27 28 29 30
31
フリーエリア
最新記事
最新TB
プロフィール
HN:
toshi
年齢:
56
HP:
性別:
男性
誕生日:
1970/05/06
職業:
自称,小説家
趣味:
釣り,へビィメタル,ドラム,格闘技,絵本,語学の勉強etc
自己紹介:
6/5/1970,41age,male. ハイ!ファイン?(元気?)ハーワーユードーイング?(笑)(なにしてるの?)(笑)アーユーハビング・ア・グッドタイム?(笑)(楽しんでる?)(笑)【english】***アンニョンハセヨ!(こんにちは!)チォアハヌン・ハングンヨリヌン・ムォエヨ?(好きな韓国料理はなんですか?)【korean】***二ーハオ!(こんにちは!)タイメイラ・・。(美しい・・。)【chinese】
バーコード
ブログ内検索
カウンター
お天気情報
お天気情報
お天気情報
アクセス解析